作 者:Weng, N.Y., andWang, W.X. 影响因子:5.393
刊物名称:Environment. Science & Techmology
出版年份:2015
卷:49 页码:3119-3127
Understanding the impacts of metal stress on the reproduction of dominant species, such as oysters, in seriously contaminated estuarine environments has great ecological implications. In the present study, the reproductive conditions were examined monthly for 1 year in oystersCrassostrea hongkongensisfrom a heavily metal-contaminated site (Baijiao, mainly by Cu and Zn) in the Jiulong River estuary and a relatively clean nearby estuary (Jiuzhen). Oysters sampled in the contaminated site showed a delayed gametogenesis, a relatively shorter spawning period, and a lower gonad condition index in comparison to the oysters sampled in the reference site. In particular, we found that the proportion of females increased significantly in the contaminated oysters, which provided the first evidence that the feminization in wild oyster populations could be related to trace metal pollution. Additionally, the potential detoxification mechanism of trace metals in oysters was also investigated. Compartmentalization of trace metals in membrane-limited vesicles in hemocytes could be an important detoxification mechanism for the contaminated oysters. Our findings indicated that the long-term metal exposure may greatly influence the reproduction of the oysters and finally affect the recruitment and population of this species.

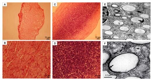
Fig.5.(A − D) Light micrograph and (E and F) electron micrograph of mantle tissue ofC. hongkongensissampled from Baijiao (the contaminated site) and Jiuzhen (the reference site). Panels A (40 × ) and B (100 × ) are for the mantle tissue from Jiuzhen, and panels C (40 × ), D (100 × ), E(6000 × ), and F (12000 × ) are for the mantle tissue from Baijiao. N, nuclei; V, vesicles. Arrows show the membrane-limited vesicles (n = 3 for each site).